
Un grupo de científicos argentinos que investiga con recursos locales está más cerca de obtener el primer medicamento que evitaría la progresión de un mal endémico local, como es el Síndrome Urémico Hemolítico (SUH).
El origen principal de los brotes son los productos de carne picada cruda o poco cocinada, pero también puede provenir de verduras mal lavadas
Hoy, investigadores del laboratorio Inmunova y el Hospital Italiano de Buenos Aires presentaron en conferencia de prensa la finalización de la primera parte de un estudio clínico de un suero que detiene la progresión de este mal, que cada año afecta a unos quinientos niños -sobre todo, menores de cinco años. El SUH es además la primera causa de insuficiencia renal aguda en niños y del 20% de los trasplantes de riñón pediátricos. Además, puede dejar secuelas de por vida, incluidas neurológicas porque la bacteria Escherichia coli también afecta al sistema nervioso central.
![]() |
"En esta etapa demostramos la inocuidad del producto, lo que nos permite empezar ensayos para comprobar su eficacia en niños, algo que iniciaremos en los próximos meses, en por lo menos diez hospitales. En niños que lleguen con diarrea con sangre y cuyos padres acepten ingresar al estudio (vía consentimiento informado) se les va a dar este medicamento para ver si evita el desarrollo", dijo Fernando Goldbaum, director científico de Inmunova e investigador del Conicet.
Los científicos que participan de la investigación
Cómo sigue el proceso
El objetivo es probarlo en unos cuatrocientos niños. Luego de continuar con un escenario de éxitos, se podrá comercializar. Mientras tanto, el trabajo clínico se coordinó con las agencias que controlan los medicamentos y dan las aprobaciones en la Argentina ( Anmat ), tanto como en Europa (EMA) y los Estados Unidos (FDA). Por lo que el suero tendría proyección global, ya que hasta hoy no existe ningún tratamiento ante el síndrome y sólo se aplican paliativos, por ejemplo, ante la inflamación renal.
En la primera parte del ensayo se les dio el suero a catorce voluntarios sanos, que lo recibieron por vía endovenosa. "Empezamos a fines de 2017 con el primer paciente sano", contó Ventura Simonovich, jefe de Farmacología Clínica del Hospital Italiano y líder del estudio en esta fase. "Le dimos cantidades escalonadas hasta llegar a la esperada como dosis y a las concentraciones adecuadas para que sea práctico y, por ejemplo, no sea algo que se deba administrar cada dos horas", añadió.
La Argentina tiene la tasa más alta del mundo del SUH en menores de cinco años, con 8,5 casos cada 100.000 niños, cuando en el mundo ese número es de 0,8. Las hipótesis para explicar estas cifras locales van desde el nivel de consumo de carne del país hasta su lugar geográfico, pero según Goldbaum lo más probable es que sea que aquí la cepa circulante es más virulenta. De todos modos, y pese a su mote (que se debe a la posibilidad de que la carne esté cruda), la bacteria también se contrae por agua y verduras contaminadas y otras manipulaciones incorrectas.
![]() |
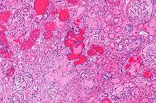
Inmunova, una start-up biotecnológica generada en el Instituto Leloir, desarrolla medicamentos para salud humana y animal. En ese contexto fue que se pensó en un primer momento diseñar una vacuna contra el SUH, pero luego se vio como más conveniente un producto que fuera un antígeno. "El mecanismo es similar a los antisueros para venenos de víboras y alacranes, y también para la toxina botulínica en algunos casos", dijo Goldbaum, y detalló: "Se bloquea el ingreso de la toxina a la célula mediante anticuerpos neutralizantes". Riñón de un paciente con síndrome urémico hemolítico por E. coli
Simonovich, por su parte, también se mostró conforme por poder hacer ciencia de alto nivel y con proyección en el país: "Estamos jugando un juego que se reserva para grandes empresas y para otros países. Y lo bueno es que lo hacemos con idénticos y altos estándares de calidad". Según manifestó Linus Spatz, CEO de Inmunova, todo el desarrollo y hasta la conclusión con la próxima fase clínica, conlleva costos del orden de las "decenas de millones de dólares". Lo que parece mucho, y lo es, puede ser relativo si se compara que el desarrollo de una nueva molécula para una nueva droga puede alcanzar costos de miles de millones de dólares para los grandes laboratorios multinacionales.
![]() |
Leticia Bentancor, especialista en SUH del Conicet y la Universidad Nacional de Quilmes, que participó en una primera instancia en el desarrollo de Inmunova, dijo que "sería muy importante obtener un tratamiento para el síndrome porque sólo existe una terapia de sostén, que por su lado logró bajar la mortalidad al 4%". Y recalcó que hay que hacer prevención de todos modos porque "la prevención del SUH sirve también para evitar otras 250 enfermedades transmitidas por alimentos".
FUENTE: Martín De Ambrosio LA NACION | SALUD | ANMAT
https://www.lanacion.com.ar/
REDACCION /EDICION BOLETIN APIE Sria. Monzon Andrea Carolina
Jujuy 441 - 3ºP. -Tels: (54) (0351) 4236074 - 4220081/46
CP: 5000 - CORDOBA - ARGENTINA
E-mail: info@apie.com.ar